Hiệu quả với những cách chữa viêm nang lông truyền thống
Với bệnh viêm nang lông hiện nay, có rất nhiều các phương pháp tiên tiến có thể chữa trị một cách hiệu quả và triệt để. Phải kể đến những sản phẩm mỹ phẩm cao cấp của Dr.Spiller là một trong những phương pháp hàng đầu với các sản phẩm điều trị viêm nang lông một cách hiệu quả nhất. Ngoài những phương pháp hiện đại, các phương pháp chữa trị viêm nang lông truyền thống như cách chữa viêm nang lông bằng đông y hay những nguyên liệu tự nhiên sẽ có tác dụng tuyệt vời cho người sử dụng.

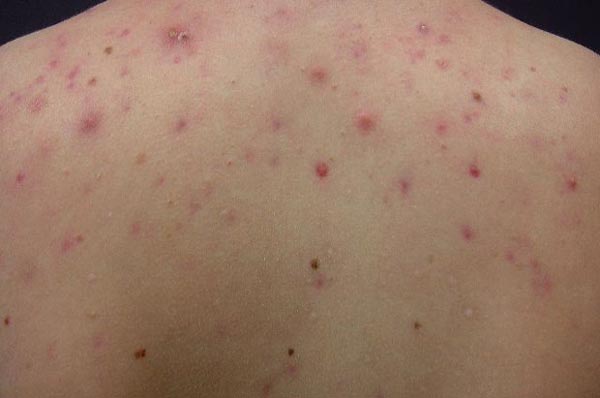
Với những cách làm đơn giản sau đây bạn sẽ loại bỏ được lớp da viêm nang lông để lấy lại một làn da mịn màng nhất.
Trị viêm nang lông bằng gừng và nghệ
Gừng có tính chất cay nồng dịu nhẹ, được sử dụng nhiều trong các bài thuốc dân gian cổ truyền từ đời xưa. Trong đó có phương pháp điều trị viêm nang lông và những mụn ngứa cực hiệu quả. Nghệ có tác dụng làm lành các vết thương và phục hồi da rất tốt. Khi kết hợp chúng lại để điều trị viêm nang lông sẽ đem lại hiệu quả tốt nhất.

Bạn tiến hành như sau: lấy khoảng 300kg gừng với 700kg nghệ rửa sạch, ngâm nước muối rồi gọt vỏ đi, sau đó giã nát để đựng vào một cái lọ, lấy 1,2 lít rượu trắng để ngâm chung với nghệ và gừng đã giã nát. Ngâm nghệ và gừng trong rượu trong khoảng 2 tháng, thì bạn sử dụng vào mỗi lúc tắm một chút để hòa vào nước tắm và thoa lên những chỗ bị viêm nang lông. Cách chữa viêm nang lông bằng đông y này sẽ giúp cho những mụn đỏ và mẩn ngứa trên da dần tan biến theo thời gian, bạn sẽ không phải lo lắng về vấn đề da mình bị viêm nang lông nữa.
Trị viêm nang lông bằng cù giềng
Trong thiên nhiên có những loại cây có thể giúp bạn khắc phục được những vấn đề về da như viêm nang lông hiệu quả mà bạn chưa hề biết đến.

Với những cách thức truyền thống để chữa trị bệnh viêm nang lông, đó là bằng củ giềng. Củ giềng có đặc tính gần giống với gừng, chính vì thế mà chúng có tính sát trùng cao và làm sạch da hiệu quả. Cách tiến hành là bạn cũng thực hiện như đối với gừng và nghệ Bạn rửa sạch, gọt vỏ và giã nát giềng để ngâm với rượu trong vòng 2 tháng. Sau đó sử dụng hỗn hợp này trong mỗi lần bạn tắm, hòa chung với nước ấm và bao nhẹ nhàng lên người những vùng da bị viêm nang lông bạn hãy chú ý chăm sóc chúng cần thận hơn.
Việc bạn sử dụng những cách thức truyền thống này vừa có thể giúp bạn trị được viêm nang lông, vừa có thể ngăn ngừa các bệnh ngoài da và mẩn ngứa trên da hiệu quả, để cho da bạn luôn được bảo vệ tốt nhất.

Các phương pháp truyền thống và chữa viêm nang lông bằng đông y sẽ giúp các bạn có được bí quyết làm đẹp muôn đời. Với thời đại hiện nay, các sản phẩm làm đẹp của Dr.Spiller sẽ mang lại cho bạn những công dụng tuyệt vời hơn. Dr.Spiller đảm bảo an toàn cho da và người sử dụng. Bạn sẽ phải ngạc nhiên đấy. Hãy thử và cảm nhận sự khác biệt trong công thức làm đẹp mới với mỹ phẩm cao cấp Dr.Spiller bạn nhé!
