Ngăn ngừa viêm nang lông tận gốc với Hydro Marin Body Scrub
Kiến thức cơ bản về vấn đề viêm nang lông
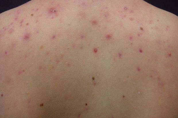
Viêm nang lông là một hiện tượng về da do tình trạng nhiễm trùng những lỗ chân lông làm cho những vùng da này của bạn bị ngứa ngáy và khó chịu, xuất hiện những mẩn đỏ trên da lâu ngày chúng sẽ mưng mủ và phá vỡ, hình thành hiện tượng lở loét. Cách ngăn ngừa viêm lỗ chân lông không hiệu quả là một trong những nguyên nhân làm cho lông mọc ngược vào bên trong mà không thoát được ra ngoài.

Để ngăn ngừa viêm nang lông, trước tiên chúng ta phải tránh được những nguyên nhân gây ra chúng.
Nguyên nhân gây ra viêm nang lông
Viêm nang lông hình thành chủ yếu là do việc làm sạch và giữ gìn vệ sinh da không được các bạn quan tâm một cách tốt nhất. Những bụi bẩn bám trên da, cộng với lớp da thừa không được đào thải một cách hiệu quả, chúng tích tụ trên da của bạn gây tắc nghẽn lỗ chân lông, làm cho lông không thể mọc thoát ra ngoài được mà đâm sâu vào trong da, hình thành lên những mẩn đỏ dưới da của bạn.
Đồng thời, việc tiết mồ hôi làm da lúc nào cũng ẩm ướt mà không khô thoáng đã tạo điều kiện cho những vết viêm nang lông xuấ hiện nhiều hơn. Các bạn cần ngăn chặn được những nguyên nhân này để loại bỏ được vấn đề về viêm nang lông trên da của mình, kết hợp với cách chữa viêm lỗ chân lông tốt nhất.

Hydro Marin Body Scrub- sản phẩm muối làm sạch da chết ngăn ngừa tận gốc viêm nang lông
Để có được một làn da sạch khỏe và trắng trẻo, một bước mà các bạn không thể bỏ qua đó là làm sạch da chết cho vùng da toàn thân của mình.
Một trong những nguyên nhân dẫn đến da bạn xuất hiện những đốm viêm nang lông là do bạn không tiến hành làm sạch da chết thường xuyên với những sản phẩm an toàn nhất. Sử dụng muối làm sạch da chết Hydro Marin Body Scrub là một trong những cách tuyệt vời để bạn diệt tận gốc viêm nang lông, cho làn da khỏe mạnh và mịn màng.

Thành phần chính có trong sản phẩm đó là chiết xuất muối biển sâu, giúp da bạn được làm sạch sâu và ngăn ngừa khuẩn trên da một cách hiệu quả. Muối biển sâu có tác dụng làm mềm những mô da cứng đã chết để loại bỏ chúng ra khỏi da của bạn một cách nhẹ nhàng và tự nhiên, không gây ảnh hưởng đến da của bạn. Đồng thời, với tinh chất tảo biển có khả năng kích thích những tế bào da mới được hình thành một cách khỏe mạnh. Đồng thời giúp cho da của bạn không bị khô, có khả năng dưỡng ẩm trong quá trình tẩy da chết để da của bạn trở nên mịn màng hơn.
Bạn sẽ không phải lo về vấn đề viêm nang lông nữa khi có sản phẩm Hydro Marin Body Scrub của mỹ phẩm cao cấp Dr.Spiller. Với sản phẩm này, đảm bảo tuyệt đối an toàn cho bạn ngăn ngừa viêm nang lông trên da của mình.

Cách ngăn ngừa viêm lỗ chân lông này là một vượt trội của mỹ phẩm cao cấp Dr.Spiller. Ngoài sản phẩm nảy ra, Dr.Spiller còn rất nhiều những sản phẩm chăm sóc da phong phú và đa dạng khác, bạn hãy cùng khám phá và trải nghiệm công thức làm đẹp này bạn nhé!
